43++ 17Cm Ovarian Cyst
17Cm Ovarian Cyst. After three straight days of agonizing pain i went to the doctor who said it could be a pulled muscle but just. Ovarian cyst removal and ovarian cyst surgery:

Most ovarian cysts resolve spontaneously and are harmless. Hi all, after a year of intensely painful periods and recent horrendous pelvic pain, as well as a very late period, i've found out this week i have a 13 x 13cm cyst on my left ovary, with lots of other cysts all over. Learn more and fix the problem right.
areca nut plant aspirateur bosch prosilence 68 notice apprentice 2018 winner uk abrasif pour ponceuse bosch
Presentation on Twisted ovarian cyst by Dr. Monnaf
After three straight days of agonizing pain i went to the doctor who said it could be a pulled muscle but just. 95% of cysts, even bigger cysts and complex cysts, are benign. Ovarian cysts are common — many women have them — and the good news is that most ovarian cysts are harmless, don’t cause pain and disappear on their own. Ad check out #12 it may save your life.

Ovarian cysts and ovarian cancer. Learn more and fix the problem right. Are you sure it's 23 cm and not 2.3 cm or 23 mm?? Most cysts don't need to be surgically removed. Ovarian cysts are common — many women have them — and the good news is that most ovarian cysts are harmless, don’t cause pain and disappear on.

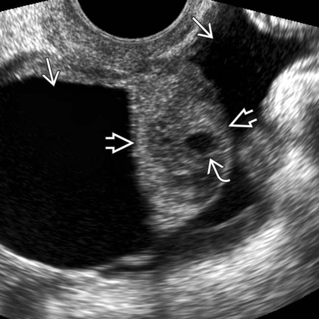
Ovulation happens when these cysts are around 2 to 3 cm in size. Ad learn the early warning signs and symptoms that arise due to ovarian cancer. There are several types of cysts and some can grow very large. Using the formula for a sphere, and assuming water density, a 10 cm. New reply follow new topic.

After three straight days of agonizing pain i went to the doctor who said it could be a pulled muscle but just. 5.4k views answered >2 years ago. 95% of cysts, even bigger cysts and complex cysts, are benign. A cyst can vary in size from a few centimeters to the size of a large melon. Learn about hysterectomy types.

Benign cysts are routinely produced by the ovaries during the menstrual cycle in women who are premenopausal and frequently by women who are menopausal. All my cysts have been complex or somewhat complex and all have been benign. Hysterectomy is the surgical removal of the uterus. Ovarian cysts are common — many women have them — and the good news.

The female reproductive system, including the ovaries. Benign cysts are routinely produced by the ovaries during the menstrual cycle in women who are premenopausal and frequently by women who are menopausal. Diameter cyst would weigh 523.5 grams or 1.15 pounds. 23 cm is about 9 inches which is a very large cyst. Learn more about the signs that may reveal.

95% of cysts, even bigger cysts and complex cysts, are benign. Just wondering if anyone else has had these symptoms. Using the formula for a sphere, and assuming water density, a 10 cm. Numbness/tingling sensation on the side of the big cyst and sometimes face. Ovarian cysts are the most common cause of pelvic masses in women, and in the.

However, surgery may be needed for cysts that are large or that don't go. All my cysts have been complex or somewhat complex and all have been benign. Once a cyst is 10 cm it is borderline on whether they can take out laparoscopically. Most cysts don't need to be surgically removed. New reply follow new topic.